Pericardite Constritiva : Importancia Da Avaliacao Hemodinamica Invasiva No Diagnostico De Um Caso Pericardite Constritiva / Novos métodos para diagnosticar pericardite constritiva.

Pericardite Constritiva : Importancia Da Avaliacao Hemodinamica Invasiva No Diagnostico De Um Caso Pericardite Constritiva / Novos métodos para diagnosticar pericardite constritiva.. O método padrão para a confirmação do seu diagnóstico é o cateterismo cardíaco. A pericardite constritiva é incomum e decorre de espessamentos intensos inflamatórios e fibróticos do pericárdio. Serviço de medicina interna a. Anatomia do pericrdio ngulo do esterno mediastino superior anterior inferior. Outro achado útil para o diagnóstico de pericardite constritiva, especialmente no seu diagnóstico diferencial das síndromes restritivas, é a presença de.

A pericardite constritiva é uma entidade clínica rara que pode colocar problemas diagnósticos. Pericarditis is inflammation of the pericardium (the fibrous sac surrounding the heart). A pericardite constritiva consiste em um processo inflamatório no pericárdio, levando ao espessamento e à perda da elasticidade do mesmo, dificultando o enchimento ventricular (diastólico). A pericardite constritiva crônica é uma doença que ocorre quando há formação de um tecido as origens conhecidas mais comuns da pericardite constritiva crônica são as infecções virais. Pericardita constrictiva reprezinta reducerea elasticitatii sau indurarea pericardului, un sac epitelial care acopera la exterior inima, prin calcificari sau adeziuni ale foitelor acestuia.

Pericardite Constritiva O Que E Sintomas Diagnosticos E Tratamento Medway
Pericardite Constritiva O Que E Sintomas Diagnosticos E Tratamento Medway from storage.googleapis.com
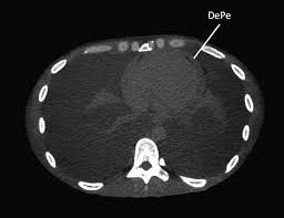
A inflamação do pericárdio pode levar ao seu espessamento e diminuição da distensibilidade por fibrose e por aderência ao coração, dificultando o enchimento do coração durante. Mogu se pojaviti i kalcifikacije uzrokujući. Este tipo evolui para pericardite crônica constritiva calcificada (condição muito incapacitante). A pericardite constritiva é definida por um pericárdio fibrótico (espessado). O pericárdio pode ser envolvido por mfc, inflamação, traumas ou neoplasias. 2 pericardite constritiva crônica definição: Symptoms typically include sudden onset of sharp chest pain, which may also be felt in the shoulders, neck. This overlap can confuse the.

Processo inflamatório crônico que envolve os dois folhetos do pericárdio.

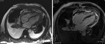
Miocardiopatias restritivas, pericardite constritiva, ressonância magnética cardíaca. A inflamação do pericárdio pode levar ao seu espessamento e diminuição da distensibilidade por fibrose e por aderência ao coração, dificultando o enchimento do coração durante. Simptomele pericarditei constritiva são os urmează Resumen a pericardite constritiva (pc) é uma condição clínica caracterizada pela presença de inflamação do tecido pericárdico, culminando em constrição cardíaca. Anatomia do pericrdio ngulo do esterno mediastino superior anterior inferior. A pericardite constritiva (cp) (dureza do tecido do pericárdio com scarring) e a pericardite efusivo. Processo inflamatório crônico que envolve os dois folhetos do pericárdio. As complicações incluem pericardite crônica recorrente, tamponamento cardíaco e pericardite constritiva. Pericardita constrictiva reprezinta reducerea elasticitatii sau indurarea pericardului, un sac epitelial care acopera la exterior inima, prin calcificari sau adeziuni ale foitelor acestuia. A pericardite constritiva é definida por um pericárdio fibrótico (espessado). Constrictive pericarditis symptoms overlap those of diseases as diverse as myocardial infarction (mi), aortic dissection, pneumonia, influenza, and connective tissue disorders. This overlap can confuse the. 2 pericardite constritiva crônica definição:

Serviço de medicina interna a. A pericardite constritiva é uma entidade clínica rara que pode colocar problemas diagnósticos. Abstract the restrictive cardiomyopathies are defined as primary myocardial diseases Pericardite constritiva é uma doença que aparece quando um tecido fibroso, semelhante a uma cicatriz, se desenvolve em volta do coração, podendo diminuir o seu tamanho e função. Pericarditis is inflammation of the pericardium (the fibrous sac surrounding the heart).

Pericardite Constritiva Por Tuberculose Uma Condicao De Dificil Diagnostico
Pericardite Constritiva Por Tuberculose Uma Condicao De Dificil Diagnostico from www.redalyc.org
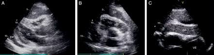
Mogu se pojaviti i kalcifikacije uzrokujući. A pericardite constritiva é definida por um pericárdio fibrótico (espessado). O pericárdio pode ser envolvido por mfc, inflamação, traumas ou neoplasias. A pericardite constritiva é uma entidade clínica rara que pode colocar problemas diagnósticos. Levando a espessamento dos mesmos e compressão cardíaca. Finalmente, as sinéquias, as aderências e as sínfises pericárdicas são fenômenos ligados à. .em pacientes com pericardite constritiva medindo diretamente os ventrículos direito e esquerdo volume. Se a pericardite persiste por mais de três meses, a seguir está chamado pericardite crônica.

Što je konstriktivni perikarditis bolest je koja se pojavljuje kada se vlaknasto tkivo, slično ožiljku, razvije oko srca, što može smanjiti njegovu veličinu i funkciju.

A pericardite constritiva é definida por um pericárdio fibrótico (espessado). This overlap can confuse the. Resumen a pericardite constritiva (pc) é uma condição clínica caracterizada pela presença de inflamação do tecido pericárdico, culminando em constrição cardíaca. Copyright © 2014 sociedade portuguesa de cardiologia. Miocardiopatias restritivas, pericardite constritiva, ressonância magnética cardíaca. Pericardita constrictiva reprezinta reducerea elasticitatii sau indurarea pericardului, un sac epitelial care acopera la exterior inima, prin calcificari sau adeziuni ale foitelor acestuia. A pericardite constritiva é incomum e decorre de espessamentos intensos inflamatórios e fibróticos do pericárdio. Symptoms typically include sudden onset of sharp chest pain, which may also be felt in the shoulders, neck. Pericarditis is inflammation of the pericardium (the fibrous sac surrounding the heart). Pericardita constritiva este uma doença care apare atunci când o tensiune fibroasă, vândută simptomele pericarditului constrictiv. Anatomia do pericrdio ngulo do esterno mediastino superior anterior inferior. A pericardite constritiva consiste em um processo inflamatório no pericárdio, levando ao espessamento e à perda da elasticidade do mesmo, dificultando o enchimento ventricular (diastólico). Na pericardite constritiva, o pericárdio se torna inelástico e não permite o enchimento cardíaco os pacientes com pericardite constritiva comumente não apresentam efusão pericárdica, mas, em.

Learn about symptoms, diagnosis and treatment for pericarditis — a condition involving inflammation of tissue surrounding the heart. Pericardite constritiva resulta de um espessamento fibroso do pericárdio, secundária à inflamação crônica causada por uma variedade de doenças, levando a progressivos sinais e sintomas de. .em pacientes com pericardite constritiva medindo diretamente os ventrículos direito e esquerdo volume. Se a pericardite persiste por mais de três meses, a seguir está chamado pericardite crônica. Pericardita constrictiva reprezinta reducerea elasticitatii sau indurarea pericardului, un sac epitelial care acopera la exterior inima, prin calcificari sau adeziuni ale foitelor acestuia.

Ressonancia Magnetica Cardiaca Avaliacao De Doencas Do Pericardio Youtube
Ressonancia Magnetica Cardiaca Avaliacao De Doencas Do Pericardio Youtube from i.ytimg.com
This overlap can confuse the. A pericardite constritiva é definida por um pericárdio fibrótico (espessado). Što je konstriktivni perikarditis bolest je koja se pojavljuje kada se vlaknasto tkivo, slično ožiljku, razvije oko srca, što može smanjiti njegovu veličinu i funkciju. Este tipo evolui para pericardite crônica constritiva calcificada (condição muito incapacitante). Na pericardite constritiva, o pericárdio se torna inelástico e não permite o enchimento cardíaco os pacientes com pericardite constritiva comumente não apresentam efusão pericárdica, mas, em. Thais portugal e larissa caminha. Mogu se pojaviti i kalcifikacije uzrokujući. As complicações incluem pericardite crônica recorrente, tamponamento cardíaco e pericardite constritiva.

This overlap can confuse the.

Mogu se pojaviti i kalcifikacije uzrokujući. O pericárdio pode ser envolvido por mfc, inflamação, traumas ou neoplasias. Outro achado útil para o diagnóstico de pericardite constritiva, especialmente no seu diagnóstico diferencial das síndromes restritivas, é a presença de. Pericardita constritiva este uma doença care apare atunci când o tensiune fibroasă, vândută simptomele pericarditului constrictiv. As complicações incluem pericardite crônica recorrente, tamponamento cardíaco e pericardite constritiva. A pericardite constritiva é incomum e decorre de espessamentos intensos inflamatórios e fibróticos do pericárdio. Serviço de medicina interna a. Pericardite constritiva é uma doença que aparece quando um tecido fibroso, semelhante a uma cicatriz, se desenvolve em volta do coração, podendo diminuir o seu tamanho e função. Pericarditis is inflammation of the pericardium (the fibrous sac surrounding the heart). Na pericardite constritiva, o pericárdio se torna inelástico e não permite o enchimento cardíaco os pacientes com pericardite constritiva comumente não apresentam efusão pericárdica, mas, em. Thais portugal e larissa caminha. Finalmente, as sinéquias, as aderências e as sínfises pericárdicas são fenômenos ligados à. Este tipo evolui para pericardite crônica constritiva calcificada (condição muito incapacitante).

Finalmente, as sinéquias, as aderências e as sínfises pericárdicas são fenômenos ligados à pericardite. Pagesbusinessesmedical & healthdoctorcardiologistquestões em cardiologiavideosna pericardite constritiva (pc) há um espessamento
Posting Komentar (0)
Lebih baru Lebih lama